Landmark Total Dentistry Smile Transformations
A smile has a tremendous impact on how someone looks and feels. Our doctors continually help patients transform their image and lives by enhancing their smile. The gallery below gives an overview of some of the many smile transformations that we have created.
Please contact our office to find out how we can help brighten your smile

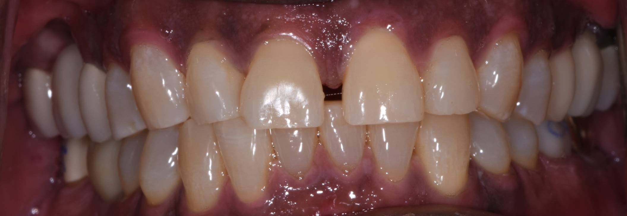
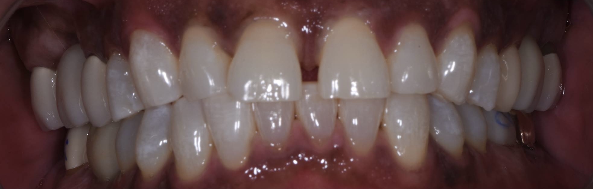
Porcelain Crowns, Dental Bridges
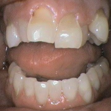
Before
After

Cosmetic Dentistry
Advanced Dentistry
















