Dental Bridges
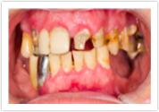
![]() |
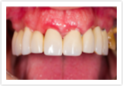
![]() |
| Before Photo | After Photo |
Dr. Per T. Reiakvam
Dr. Jordyn A. Reiakvam
Dr. Whitney N. Reiakvam
7400 E Crestline Cir, Ste 240.
Greenwood Village, CO 80111
Call: (303) IMPLANT![]() |
![]() |
| Before Photo | After Photo |

