Dental Bonding
Applied Procedures:
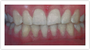
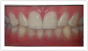
Dental Bonding
![]() |
![]() |
| Before Photo | After Photo |
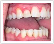
Applied Procedures:
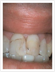
Dental Bonding
![]() |
![]() |
| Before Photo | After Photo |
Pt was unhappy that her front teeth were not the same lengh... Dr. bonded the tooth on the left to match the tooth on the right of the picture.
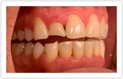
Applied Procedures:
Dental Bonding
![]() |
![]() |
| Before Photo | After Photo |
Applied Procedures:
Dental Bonding
![]() |
![]() |
| Before Photo | After Photo |

















